Generalized Chronic Periodontitis in Elderly Heavy Smokers
DOI:
https://doi.org/10.31983/jkg.v12i1.12255Keywords:
Generalized chronic periodontitis, elderly, nicotine, tooth extractionAbstract
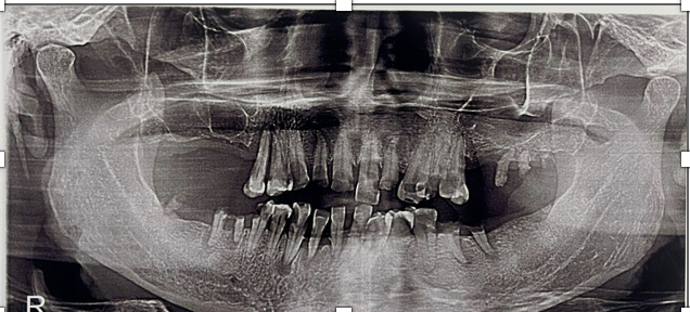
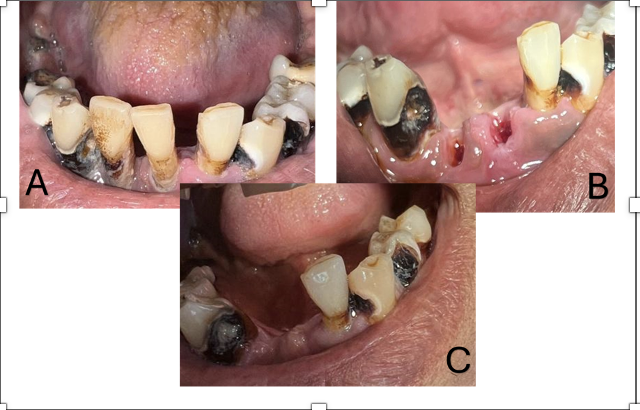
Periodontitis is one of the most common periodontal diseases affecting both elderly individuals and heavy smokers. This case report aims to describe the management of a geriatric patient with generalized chronic periodontitis and a history of heavy smoking. A 63-year-old male patient presented with a chief complaint of mobile teeth that had persisted for the past three months. Intraoral examination revealed necrosis, cervical caries, gingival recession, and poor oral hygiene. The treatment included extraction of the mobile teeth and socket curettage to remove necrotic tissue. The patient was prescribed antibiotics and analgesics, followed by a one-week post-operative evaluation. The patient reported no pain or swelling after extraction, and the healing process was satisfactory, with no signs of infection. The patient was also informed about a long-term treatment plan involving the fabrication of a prosthesis. Tooth extraction in patients with chronic periodontitis requires careful consideration of both clinical and non-clinical factors. This case highlights the importance of a comprehensive approach in the management of periodontitis in elderly heavy smokers.References
I. K. E. Wijaksana and N. L. A. Megasari, “Knowledge and Practice on Periodontal Health among Women Residing in Rural Area of Bali Province, Indonesia,†World J. Adv. Res. Rev., vol. 20, no. 3, pp. 236–242, 2023.
W. H. Organization, “Global oral health status report: towards universal health coverage for oral health by 2030,†in World Health Organization, Geneva: World Health Organization, 2022.
Y. Munandar, “Increase in the Number of Active Smokers During the COVID-19 Pandemic in Indonesia,†IOP Conf. Ser. Earth Environ. Sci., pp. 1–5, 2022, doi 10.1088/1755-1315/950/1/012062.
G. Colombo et al., “Pathophysiology of tobacco smoke exposure: recent insights from comparative and redox proteomics,†Mass Spectrom. Rev., vol. 33, no. 3, pp. 183–218, 2014, doi: 10.1002/mas.
J. Reibel, “Tobacco and Oral Diseases,†Med. Princ. Pract., vol. 12, no. Suppl. 1, pp. 22–32, 2003.
M. C. Ferreira, C. C. Martins, L. S. Branco-de-Almeida, and S. P. Federal, “Impact of periodontal disease on quality of life : a systematic review,†J. Periodontal Res., vol. 52, no. 4, pp. 651–665, 2017, doi: 10.1111/jre.12436.
G. 2017 O. D. Collaborators, “Global, regional, and national levels and trends in burden of oral conditions from 1990 to 2017: a systematic analysis for the global burden of disease 2017 study,†J. Dent. Res., vol. 99, no. 4, pp. 362–373, 2020.
V. Joshipura, U. Yadalam, and B. Brahmavar, “Aggressive periodontitis: A review,†J. Int. Clin. Dent. Res. Organ., vol. 7, no. 1, pp. 11–17, 2015.
A. Shah, “Periodontitis- A Review,†Med. Clin. Rev., vol. 3, no. 14, pp. 1–5, 2017, doi: 10.21767/2471-299X.1000056.
M. Hu et al., “Association Between Hematological Parameters and Generalized Severe Periodontitis Among Young Adults in the United States,†Res. Sq., pp. 1–14, 2022.
Nagaveni, B. Vijetha, C. Sajjan, and A. Devanoorkar, “Multidisciplinary management of adult rampant dental caries - A rare case report,†J. Dent. Sci., vol. 11, no. 2, pp. 49–53, 2019.
F. Strauss et al., “Dental caries is associated with severe periodontitis in Chilean adults : a cross-sectional study,†BMC Oral Health, vol. 19, pp. 1–8, 2019.
D. Sahoo, B. Mandal, and S. K. Ghorai, “Effects of Tobacco smoking on immune response : A Review,†VEETHIKA-An Int. Interdiscip. Res. J., vol. 8, no. 1, pp. 15–22, 2022, doi: https://doi.org/10.48001/veethika.2022.08.01.004.
S. Sivanandham, B. Asirvatham, D. Mani, A. Baskaran, K. Sivakumar, and R. Velmurugan, “Estimation of Salivary Thiocyanate Levels in Light and Heavy Smokers with Chronic Periodontitis,†J. Orofac. Sci., vol. 15, no. 3, pp. 156–159, 2023, doi: 10.4103/jofs.jofs.
N. Jr, F. H., M. Z. Casati, and P. M. Duarte, “Current perspective of the impact of smoking on the progression and treatment of periodontitis,†Periodontol. 2000, vol. 67, pp. 187–210, 2015, doi: https://doi.org/10.1111/prd.12063.
N. Petrušić, M. Posavac, I. Sabol, and M. Mravak-Stipetić, “The Effect of Tobacco Smoking on Salivation,†Int. J. Oral Sci. Dent. Med., vol. 49, no. 4, pp. 309–315, 2015, doi: 10.15644/asc49/4/6.
K. Javed, M. Zubair, M. Jalees, and M. Ahmed, “Role of diet and dietary habits in causing dental caries among adults reporting to a tertiary care hospital in Pakistan ; a case-control study,†Heliyon, vol. 9, no. 12, p. e23117, 2023, doi: 10.1016/j.heliyon.2023.e23117.
F. Y. Lim and N. Mohd, “Treatment planning for a patient with generalized advanced periodontitis: a case report.,†Gen. Dent., vol. 70, no. 3, pp. 41–45, 2022.
T. Kwon, I. B. Lamster, and L. Levin, “Current concepts in the management of periodontitis,†Int. Dent. J., vol. 71, no. 6, pp. 462–476, 2021.
P. H. M. P. Tolentino, L. G. Rodrigues, É. M. de Torres, A. Franco, and R. F. Silva, “Tooth Extractions in Patients with Periodontal Diseases and Clinical Decision-Making Process,†Acta Stomatol. Croat., vol. 53, no. 92, pp. 141–149, 2019, doi: 10.15644/asc53/2/6.
J. T. P. de Souza et al., “The influence of electronic cigarette use on the development of periodontitis in young people,†Res. Soc. Dev., vol. 12, no. 1, pp. e11412139449–e11412139449, 2023.
A. K. Whitehead, A. P. Erwin, and X. Yue, “Nicotine and Vascular Dysfunction,†Acta Physiol., vol. 231, no. 4, pp. 1–21, 2022, doi: 10.1111/apha.13631.Nicotine.
A. Abdelazim, A. Hussine, O. Shaker, and E. Ahmed, “Impact of smoking on Gingival Crevicular Fluid and Salivary Periostin levels in Periodontitis Patients following Non-surgical periodontal therapy,†Egypt. Dent. J., vol. 68, no. 3, pp. 2443–2456, 2022.
M. Kanmaz, B. Kanmaz, and N. Buduneli, “Periodontal treatment outcomes in smokers : A narrative review,†Tob. Induc. Dis., vol. 19, pp. 1–8, 2021, doi: https://doi.org/10.18332/tid/142106.
Z. L. Dan, C. U. I. S. Yue, C. Chen, D. X. Ling, and D. Gang, “Nicotine Weakens the Osteogenic Differentiation and Immune Regulation Capabilities of Periodontal Ligament Stem Cells,†Biomed. Enviromental Sci., vol. 35, no. 81570945, pp. 375–379, 2022, doi 10.3967/bes2022.051.
T. L. Redinova, N. V. Chikurova, and V. R. Gubaeva, “Clinical indicators of gingival inflammation in smokers with periodontitis,†Parodontologiâ, vol. 28, no. 2, pp. 105–111, 2023, doi: 10.33925/1683-3759-2023-28-2-105-111.
F. Alexandridi, S. Tsantila, and E. Pepelassi, “Smoking cessation and response to periodontal treatment,†pp. 140–149, 2018, doi: 10.1111/adj.12568.
P. Wulandari, “The aging process and its relation to periodontal conditions,†Explor. Immunol., vol. 3, no. 3, pp. 207–216, 2023, doi: 10.37349/ei.2021.00025.
Namita and R. Rai, “Adolescent Rampant Caries,†Contemp. Clin. Dent., vol. 3, no. April, pp. 122–124, 2012, doi: 10.4103/0976-237X.95122.
S. C. Jose, K. K. Abraham, and E. Khosla, “Rampant caries in adolescence,†Int. J. Dent. Sci., vol. 1, no. 4, pp. 12–14, 2019.
H. I. Robbihi, E. S. Sulaeman, and S. S. Rahardjo, “Path Analysis : The Effect of Smoking on the Risk of Periodontal Disease,†pp. 99–109, 2016.
P. S. Padmanabha, P. T. Arul, and I. Geeta, “Full Mouth Rehabilitation of Adult Rampant Caries with Pragmatic Approach,†J. Oper. Dent. Endod., vol. 2, no. 2, pp. 88–92, 2015.
Downloads
Published
Issue
Section
License
Authors retain copyright and grant the journal right of first publication with the work simultaneously licensed under a Creative Commons Attribution-ShareAlike 4.0 International License. that allows others to share — copy and redistribute the material in any medium or format and adapt — remix, transform, and build upon the material for any purpose, even commercially with an acknowledgment of the work's authorship and initial publication in this journal.